「患者様の嬉しいお声」PMTC体験談集
「食を司る『口腔』、お口の健康維持こそがすべての始まり」の想いで、日々PMTCをご提供しています。
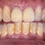
PMTCで実感できる変化
1.歯がツルツル・ピカピカに:専用機器での徹底クリーニング
2.口臭改善:細菌の温床となるバイオフィルムを除去
3.歯茎の健康向上:炎症を抑え、引き締まった歯茎へ
4.着色汚れもスッキリ:コーヒー、茶渋、たばこのによる黄ばみやヤニを除去
5.お口全体のリフレッシュ感:さわやかで清潔な口腔環境
「やまと歯科医院のPMTCの特徴」
痛みの少ない真心あるケアを心がけております。
また、歯科衛生士+予防医学指導士を持つ予防の専門家が、一人ひとりに合わせた優しい施術を行います。
PMTC3つ選べるプラン
①30分¥5.500 スタンダードケア
②50分¥8.800 プレミアムクリーニング
③70分¥11.000 リラクゼーションクリーニング
10年後も美しい健康的なお口で笑えるよう、今日から始めてみませんか。
皆様のご縁を心よりお待ちしております。



